Accessibility Tools
Surgical Outcomes
  • Surgical Outcomes

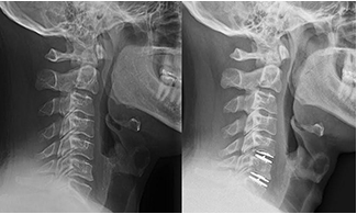
    This gentleman had neck and arm pain that failed years of nonoperative treatment. He was back to his normal routine without pain a few days after surgery. Read More

  • Surgical Outcomes2

    I had the privilege of operating on a 42-year-old gentleman with severe low back pain due to a high-grade spondylolisthesis at L5/S1. Read More

Minimally Invasive Spine Surgery

Minimally invasive spine surgery (MISS) is the latest technology available to perform spinal surgeries through small, less than one-inch-long incisions. It involves the use of special surgical instruments, devices and advanced imaging techniques to visualize and perform the surgery through such small incisions. Read More

Research & Publications
  • Resources1

    PublicationJUN, 2020

    Comparison of medical comorbidities in Medicare patients treated by orthopaedic surgeons and neurosurgeons throughout the USA. Bone & Joint Open

    READ MORE
  • Resources2

    PublicationJUN, 2020

    Recent Trends in Medicare Utilization and Reimbursement for Lumbar Spine Fusion and Discectomy Procedures Bone & Joint Open

    READ MORE
  • Resources3

    Other ResourcesJUN, 2020

    Utilization and Economic Impact of Posterolateral Fusion and Posterior/Transforaminal Lumbar Interbody Fusion Surgeries in the United States. Bone & Joint Open

    READ MORE
  • American Academy of Orthopaedic Surgeons - AAOS
  • AO Foundation
  • North American Spine Society
  • Lumbar Spine Research Society
  • Orthopaedic Research Society